
Vaginal thinning, dryness and pain occur when the vaginal mucosa, blood vessels, nerves and connective tissue undergo certain changes. While many different things can cuase these symptoms, Genitourinary Syndrome of Menopause is the most common.
Common Symptoms & Concerns
- Vaginal dryness
- Painful intercourse
- Urinary urgency and frequency
- Bleeding with sex
- Decreased orgasm
- Decreased vaginal arousal
- Burning and irritation
- Vaginal itching
- Pain with urination
- Frequent or recurrent bladder infections
- Frequent or recurrent vaginal infections
About Vaginal Dryness (Atrophic Vaginitis)
Atrophic vaginitis, postmenopausal painful intercourse, vaginal dryness, persistent vaginal itching, recurrent vaginal infections, recurrent bladder infections all are commonly the result of GENITOURINARY SYNDROME OF MENOPAUSE.
While there are many other causes for vaginal pain, infections, and dryness etc. Genitourinary Syndrome of Menopause is the most common. Please do not let the word “menopause” confuse or scare you. Basically this syndrome can occur anytime the ovaries are starting to become dysfunctional in its production of hormones. Ovarian hormone production dysfunction can occur at times even in younger women. In addition sometimes a medication or procedure results in temporary or permanent ovarian dysfunction. For example in a woman following chemotherapy for breast cancer.
Whether the ovarian dysfunction is from natural ovarian dysfunction or cessation from menopause or a medical condition or treatment, the underlying problem is the same. With the lack of estrogen AND/OR androgens (testosterone), the vaginal mucosa, blood vessels, nerves and connective tissue undergo change that results in thinning, dryness and pain.
What is happening in the vagina deficient of hormones
Several changes occur:
- Thinning of the vaginal mucosa secondary to decreased collagen and elastin
- Decrease in the good bacteria (lactobacillus) that helps to maintain a normal acidic PH
- Less lubrication resulting in dryness
- Decrease in vaginal blood low
- Decrease in vaginal nerve activity
Most women will NOT have all of these symptoms listed. Most have one or two. The most common is painful intercourse. Also, Genitourinary Syndrome is the most common cause for most of the symptoms listed BUT there are other causes for these symptoms. You MAY NOT have Genitourinary Syndrome. That’s what the visit with Dr. Ashford is for. He’ll figure it out.
Treatment options for Vaginal Dryness and Pain:
1. Over the counter moisturizers
- Vaginal moisturizers (Replens or Vagisil)
- Vaginal lubricant (glycerin-free versions of Astroglide, K-Y Intrigue, others)
- Vaginal Ph balancing gels (Refresh, Luvena)
For some women this may be all that is needed. For most this will not be sufficient as a stand alone option. However, definitely worth trying first.
2. Vaginal Estrogen Therapy
Vaginal estrogen therapy can be delivered by creams, suppositories, and ring. All are extremely effective therapy for Genitourinary Syndrome and vaginal atrophy.
3. Androgen therapy
New evidence show how significant testosterone and androgens are for vaginal health as well. Testosterone therapy while not FDA approved for women are very effective for this condition as well.
4. DHEAS
A new FDA approved cream called Intrarosa is not available for women with vaginal atrophy. DHEAS is a prohormone precursor of testosterone. While new, initial evidence suggest that this is very effective.
5. Systemic HRT (oral, patches, creams, pellets)
Using systemic level hormones have the benefit of helping the vaginal symptom AND other symptoms of hormonal dysfunction like low sex drive, low energy, focus issues, concentration concerns, hot flashes, sleep issues and sweats.
6. SERMS
Selective estrogen modifiers are a form of hormonal therapy that selective provides the benefits of estrogen effects that are selectively targeted at specific effects or tissues.
Advanced Technology and New Treatments
Some women desire or chose NOT to use estrogen therapy. Fortunately advancement in technology has made these treatments possible.

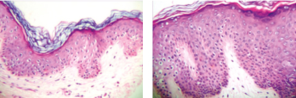
These treatments are designed to increase the thickness of the epithelium as shown on the right when compared to the thinning surface of the image on the left.
Option 1: Laser therapy of the vagina
CO2 laser therapy to the vagina has been found to be highly effect in helping to reverse the effects of genitourinary syndrome. It is a painless procedure. While, these procedures were initially developed for normal women for “vaginal rejuvenation," the effects have found to be exactly what is needed for women suffering from genitourinary syndrome or vaginal atrophy. The laser results in improve collagen production and blood supply to the vagina resulting in better lubrication, resolution of pain with intercourse and better sensation.
Click to learn more about FemiLift
Option 2: RF (Radiofrequency) Therapy to the vagina
RF therapy to the vagina has been found to be highly effect in helping to reverse the effects of genitourinary syndrome. While, these procedures were initially developed for normal women for “vaginal rejuvenation," the effects have found to be exactly what is needed for women suffering from genitourinary syndrome or vaginal atrophy. The RF therapy results in improve collagen production and blood supply to the vagina resulting in better lubrication, resolution of pain with intercourse and better sensation. New studies have shown growth of nerve fibers following Thermiva.
Click to learn more about THERMIva
Click to learn more about Viveve (Geneveve)
In Conclusion
As can be seen there are multiple options and approaches for Genitourinary Syndrome and vaginal atrophy. The best approach is an individualized solution based upon each person’s symptoms. Most women will NOT have ALL of the symptoms. Also, dependent upon severity, a combination approach with multiple therapies is sometimes utilized. There is hope!

